meza main logo 768x795
PAtient portal

Our Practice

Meza Family & Cosmetic Dentistry is committed to offering the best individual care for every patient that walks through our doors. We are dedicated to providing comprehensive care using the latest dental technologies to ensure a pleasant experience and better results.
Request an appointment

Meza Family & Cosmetic Dentistry

Meza Family & Cosmetic Dentistry is committed to offering the best individual care for every patient that walks through our doors. We are dedicated to providing comprehensive care using the latest dental technologies to ensure a pleasant experience and better results.

Dr. Jose Meza

Dr. Meza grew up in the small town of Zapata, Texas where he attended Zapata High School. He developed a passion for the health sciences at an early age and knew that he wanted to pursue a career in healthcare. After graduating from High School, Dr. Meza worked as a dental assistant in the Rio Grande Valley. His time as a dental assistant fueled his passion for dentistry, and he knew he would pursue a career as a dentist providing services to the RGV, a place he considered home. While working as a dental assistant he completed his undergraduate degree at the University of Texas-Pan American. Dr. Meza then attended Texas A&M University College of Dentistry in Dallas, Texas where he earned his Doctor of Dental Surgery degree.

Dr. Meza is a dedicated member of the profession and seeks to better serve his patients and community by completing numerous hours of continuing education, and maintaining active memberships to the American Dental Association, Academy of General Dentistry, R.G.V Dental Society, and Spear Education. His belief is that continuing education is an integral part of dentistry, which is why he strives to go above and beyond to stay up to date on current methodologies and treatment options. His area of focus is cosmetic and rehabilitative dentistry, as he enjoys watching patient’s smiles transform for the better.

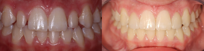
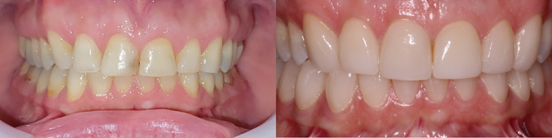
Before and After Photos

4
3
2
1
4

What Our Clients Say

Get In Touch

The first step towards a beautiful, healthy smile is to schedule an appointment. Please contact our office by phone or complete the appointment request form below. Our scheduling coordinator will contact you to confirm your appointment. 
We're Here When You Need Us
Fill out the form below and a member of our team will reach out shortly to guide you through the next steps—always with comfort, care, and your smile as our priority.

"*" indicates required fields

This field is for validation purposes and should be left unchanged.
Name*

menu-circle